藏药研究重点实验室在独一味抗类风湿性关节炎药效物质基础及作用机制方面取得阶段进展
独一味 (Lamiophlomis rotata (Benth.) Kudo) 为独一味属植物,是我国纳西、藏、蒙等民族医药中常用的草药。别名独步通,藏语称“大巴”、“打布巴”。全草入药,药材表面呈枯黄褐色或黄色,质干枯、坚硬、气腥臭,其味甘、微苦、温,具有活血止血、祛风止痛之效,临床上主要用于治疗跌打损伤、外伤出血、风湿痹痛、黄水病。藏医药巨著《晶珠本草》、《四部医典》、《月王药诊》等都对独一味的功能主治做了相关介绍。《晶珠本草》记载“独一味,固精髓,引流黄水”。《四部医典》载:“独一味功效是保护骨髓,医治黄水症”。《月王药诊》谓:“独一味,补髓,治浮肿后流黄水”。2005版《中国药典》收载了独一味药材及其制剂独一味胶囊,具有活血止痛、化瘀止血之功效,用于治疗各种外科手术后的刀口疼痛、出血、外伤骨折等。现代药理学研究表明,独一味具有镇痛,抗炎,镇静,改善微循环,抗肿瘤,抗骨性关节炎和扩张血管的作用,此外现代药理及临床实验研究还证实独一味有显著的治疗RA作用,具有良好的利用价值和开发潜力。
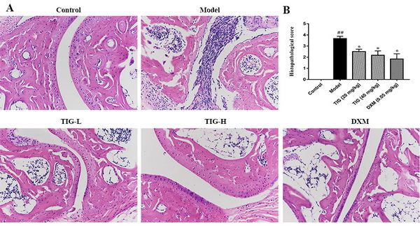
明确中药活性成分是中药现代化的基本要求。现有研究均未阐明独一味治疗RA的活性物质基础,其作用机理研究也基本属于空白。这就导致市售的20多种相关药物都是独一味粗提物加工而成,服用量大、效果不显著,极大的限制了该药物的功效和市场前景,限制了该药的高端化和国际化发展。 中科院藏药研究重点实验室和青海省藏药研究重点实验室针对独一味的研究现状与存在问题,围绕独一味抗类风湿性关节炎活性物质基础和作用机制开展相关研究,并取得了阶段性进展。 1.建立了独一味中七种环烯醚萜苷类化合物(7-epliamalbide (I), phlorigidoside C (II), lamalbide (III), shanzhiside methyl ester (IV), phloyoside II (V), chlorotuberside (VI), and penstemonoside (VII))和五种苯丙素苷类化合物(forsythoside B、verbascoside、alyssonoside、isoverbascoside、leucosceptoside B)的高效分离纯化方法,比对分离得到的化合物进行了抗炎活性筛选,发现环烯醚萜苷为独一味中主要抗炎活性物质。 2.建立了AA大鼠关节炎模型,对环烯醚萜苷药物体内治疗类风湿性关节炎的活性进行深入研究。研究发现环烯醚萜苷具有很强的免疫抑制作用,能够显著抑制AA大鼠关节炎的发病,减轻AA大鼠的相关症状,显示其有较好的抗炎作用。与模型组比较环烯醚萜苷给药组显著的降低了AA大鼠发病指数的评分,治疗组大鼠足肿胀等症状明显减轻。环烯醚萜苷给药组能显著降低血清中炎性细胞因子IL-17、IL-1 、IL-6、IFN- 、TNF- 的含量,显著增加血清中抗炎性细胞因子IL-4和IL-10的含量。此外,环烯醚萜苷能显著影响AA关节炎大鼠滑膜组织OPG和RANKL的表达水平,显著增加AA关节炎大鼠OPG蛋白表达水平,同时显著降低AA关节炎大鼠RANKL蛋白表达水平,最终使OPG/RANKL比值明显下降,从而改善AA关节炎大鼠骨破坏。同时,环烯醚萜苷能够显著降低AA关节炎大鼠NF- B p65和IKK磷酸化水平。以上结果提示PBG有可能通过调控OPG/RANKL/NF- B信号通路发挥起效作用。上述研究为环烯醚萜苷临床应用及进一步研究开发提供可靠的科学依据。 上述科研工作得到了青海省科技厅(2017-HZ-806)项目的资助。该研究依托中科院藏药研究重点实验室和青海省藏药研究重点实验室。 文章专利信息: 1. Xiaohui Zhao , Sirong Jiang , Qi Dong, Jun Dang, Zenggeng Liu, Hongping Han, Yanduo Tao*, Huilan Yue*. Anti-arthritic effects of iridoid glucosides from Lamiophlomis rotata (Benth.) Kudo on adjuvant-induced arthritis in rats by OPG/RANKL/NF- B signaling pathways. J. Ethnopharmacol. https://doi.org/10.1016/j.jep.2020.113402 (IF=3.690) 2. 岳会兰, 邵赟, 梅丽娟, 王启兰, 独一味中五种苯丙素苷类单体化合物的分离制备方法,2016.01.20, 中国, 授权, ZL201310305644.7 3. 岳会兰,赵晓辉, 于瑞涛, 党军, 邵赟, 梅丽娟, 王启兰, 陶燕铎. 独一味中Phlorigidoside C天然产物标准品制备方法及其应用,2019.03.22, 中国, 授权, ZL201611122116.8 4. 岳会兰,赵晓辉, 王启兰, 陶燕铎,独一味中四种环烯醚萜苷类单体化合物的分离制备方法,201310385962.9

图1 OPG/RANKL/NF- B信号通路

图2 237 nm化合物(I-VII)混HPLC图(A),独一味环烯醚萜苷组分图(B). 7种环烯醚萜苷结构图(C)

图3 大鼠关节组织病理学分析

图4 大鼠关节破坏的微CT分析

图5 环烯醚萜苷对血清中TNF- (A), IL-1 (B), IL-6 (C), IFN- (D), IL-17A(E), IL-10 (F) 表达的影响

图6 环烯醚萜苷对滑膜组织中p-I B, p-IKK , p-P65, OPG, and RANKL蛋白表达的影响



青公网安备 63010402000197号